Bulevar Mihajla Pupina 21/2, Novi Beograd 11070

+381 69 2121573

O nama

Rendgen centar – Vaš Prvi Izbor za Digitalno Snimanje Zuba i Vilice

Dobrodošli u naš Rendgen centar –  centar za digitalno snimanje zuba i vilicena Novom Beogradu! Sa ponosom ističemo da smo prva ordinacija u zemlji koja je instalirala najsavremeniji rendgen uređaj Dexis OP 3D Pro.


Naša misija je da vam omogućimo vrhunski kvalitet usluga, minimalno zračenje i maksimalnu preciznost u dijagnostici.


Dexis OP 3D Pro – Prvi u Srbiji

Naš rendgen centar ponosno koristi Dexis OP 3D Pro, uređaj koji omogućava potpuno digitalno i vrlo precizno snimanje.


Ovaj savremeni uređaj pruža jasne i detaljne slike koje olakšavaju dijagnostiku i planiranje terapije. Prednosti korišćenja Dexis OP 3D Pro uređaja su mnogobrojne:


  • Brže snimanje sa minimalnim utroškom vremena.
  • Visoka rezolucija snimaka za tačniju dijagnostiku.


Nisko zračenje koje je bezbedno za pacijente svih uzrasta, naročito za decu.


Dexis OP 3D Pro donosi potpuno digitalno rešenje za ortopantomogram (OPG), telediogram, skanogram, bitewing, i 3D snimke vilice, čime pruža sveobuhvatnu podršku dijagnostici za različite stomatološke zahvate i analize.


Bilo da vam je potrebno jednostavno snimanje zuba ili složeniji pregled maksilarnih sinusa i TM zglobova, naš centar je tu za vas.



 

Pristup prilagođen deci i komfor tokom snimanja

U našem rendgen centru, posebnu pažnju posvećujemo najmlađim pacijentima. S obzirom na to da deca često zahtevaju poseban pristup i brigu, naš tim je obučen da se bavi potrebama dece na način koji ih ohrabruje i umiruje tokom snimanja.


Specijalni programi za smanjenje izlaganja zračenju

Dexis OP 3D Pro poseduje poseban program za decu koji dodatno smanjuje izlaganje zračenju tokom snimanja. Ovaj program automatski prilagođava parametre snimanja prema veličini i starosnoj dobi deteta, čime se osigurava maksimalna bezbednost. Ovakav pristup omogućava nam da dobijemo jasne, precizne slike zuba i vilice čak i kod najmlađih pacijenata, bez ugrožavanja njihove sigurnosti.




Naše usluge

2D Snimci
Digitalni Ortopantomogram (ortopan)

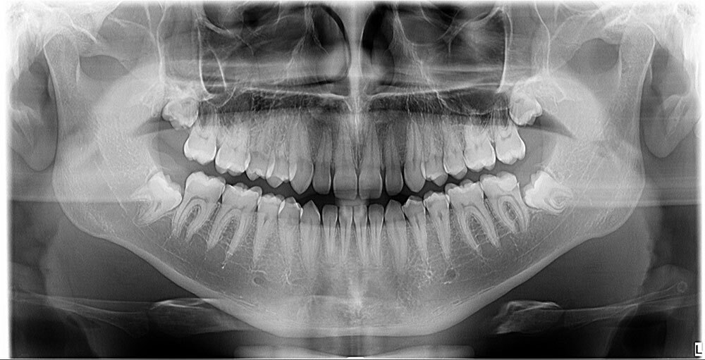
Ortopantomogram, poznat i kao digitalni ortopan, je panoramski snimak koji omogućava pregled zuba, gornje i donje vilice, TM zglobova, kao i sinusne šupljine. Naš rendgen centar koristi Dexis OP 3D Pro uređaj koji omogućava digitalni ortopan sa smanjenim zračenjem, što je naročito značajno za decu. Digitalni ortopan pruža brze, precizne rezultate koji olakšavaju dijagnostiku i planiranje tretmana.

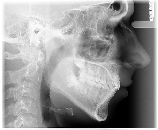
Teleradiogram (telerendgen)
Snimak za ortodonsku analizu

Telediogram je specijalizovani snimak potreban za ortodonsku analizu i planiranje terapije. Telediogram omogućava precizan uvid u položaj zuba, vilice i viličnog zgloba, pomažući ortodontima u definisanju najboljeg plana za pacijente koji nose proteze ili su u procesu ortodonskog tretmana.

Skanogram – Pregled pojedinačnih zuba i vilice

Skanogram je usmeren snimak za pregled određenih zuba ili dela vilice. Ovaj tip snimanja omogućava izuzetnu preciznost, pružajući stomatolozima uvid u specifična problematična područja, poput korena zuba, položaja implantata ili prisustva cista i infekcija. Sa Dexis OP 3D Pro uređajem, skanogrami su brzi i precizni, omogućavajući brzo reagovanje na potencijalne probleme.

Bitewing – Snimak za otkrivanje karijesa i stanja kostiju

Bitewing je zagrizni snimak koji je idealan za otkrivanje početnih faza karijesa, kao i za procenu zdravlja kostiju oko zuba. Naš rendgen centar koristi Bitewing snimke za dijagnostiku i planiranje preventivnih i restaurativnih tretmana.

Snimak maksilarnih sinusa

Za sve one koji imaju probleme sa sinusima, naš rendgen centar nudi specijalizovani snimak maksilarnih sinusa. Ova vrsta snimka omogućava preciznu analizu stanja sinusa, što može biti od ključnog značaja za određivanje tačne dijagnoze kod upala ili drugih problema sa sinusima.

Snimak TM zglobova

Snimak temporomandibularnog (TM) zgloba omogućava stomatolozima i maksilofacijalnim hirurzima da precizno procene stanje TM zgloba. Ovaj snimak je posebno važan za pacijente koji imaju problema sa funkcijom zgloba, bolove u vilici ili simptome škripanja zubima. Naš Dexis OP 3D Pro uređaj pruža visokokvalitetne slike TM zgloba, omogućavajući preciznu analizu i planiranje lečenja.

Dentalni radiogrami

Dentalni radiogrami su pojedinačni rendgen snimci zuba, koji su neophodni za procenu stanja korena, tkiva oko korena, kao i prisustva potencijalnih infekcija. Ovi snimci pružaju detaljan uvid u stanje svakog pojedinačnog zuba, omogućavajući preciznu dijagnostiku i efikasan tretman.


3D Snimci po Regijama Vilice

3D snimak- regije 5x5cm , 6x8cm, 8×8 cm, 8x15cm i najveće polje 13x15cm. Ova tehnologija je idealna za složene stomatološke zahvate kao što su:

  • Implantologija, za precizno planiranje pozicije implantata
  • Oralna hirurgija za planiranje zahvata poput vađenja impaktiranih zuba
  • Parodontologija za detaljno snimanje kosti oko zuba

Cenovnik

Dentalni radiogram *
800
Ortopantomogram *
2500
Teleradiogram *2500
Snimak maksilarnih sinusa *2500
Snimak TM zglobova *2500
Skanogram *
1500
Bitewing *1500
3D 5x5 **
4000
3D 6x8 **
5000
3D 8x8 **
5500
3D 8x15 **
6000
3D 13X15 ** 6500
Uvećani snimak
1200
Kopija ortopan snimka
1200
CD
200
* Snimak se dobija na email adresu i na filmu
** Snimak se dobija na email adresu i na cd;           50% popusta na low dose snimak

Ponedeljak - Petak

9:00 - 20:00

SUBOTA

9:00 - 15:00

U cilju pružanja što boljih usluga sarađujemo sa osiguravajućim kućama